به گزارش مجله خبری نگار، یک زن ۲۰ ساله تایوانی که با تب شدید و کمردرد به بیمارستان مراجعه کرده بود مشخص شد که بیش از یک دهه است آب ننوشیده و درنهایت بیش از ۳۰۰ سنگ از کلیهاش خارج شد.
این زن که نامش فاش نشده اخیراً با علائمی شامل تب شدید و کمردرد به مرکز پزشکی چی میدر شهر تاینان مراجعه کرد. زمانی که از او در مورد وضعیتش سوال شد به پزشکان گفت که به ندرت آب مینوشد و در عوض سالهاست که با نوشیدنیهایی مانند چای تایوانی، آبمیوه و نوشیدنیهای الکلی به بدن خود آبرسانی میکند.

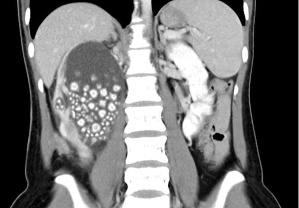
پس از بررسیهای اولیه، پزشکان متوجه شدند که کلیه راست زن به شدت متورم است و برای تشخیص علت، از او اسکن اشعه ایکس گرفتند. آنها با دیدن کلیه این زن که با بیش از ۳۰۰ سنگ بین ۰.۵ تا ۲ سانتیمتری پر شده بود متحیر شدند.
پس از یک عمل جراحی دو ساعته به نام نفرولیتوتومی از راه پوست (سنگ شکن از راه پوست)، پزشکان مقدار زیادی از سنگها را از کلیه او خارج کردند که به گفته دکتر لین کاییانگ، جراح، شبیه نانهای حجیم پختهشده بودند.

به گزارش رسانههای محلی وضعیت این زن جوان پس از جراحی پایدار بوده و بعد از چند روز مرخص شده است.
کاییناگ مصرف کم آب، رژیم غذایی و ژنتیک را به عنوان مهمترین عوامل تشکیل سنگ کلیه ذکر کرده است.
تصویر منتشر شده از سنگهای خارج شده از کلیه این زن در شبکههای اجتماعی باعث تعجب فراوان کاربران شد.

اخیراً آمارها حکایت از افزایش نگرانکننده افراد مبتلا به سنگ کلیه بهویژه در میان زنان و دختران جوان داشته است. هنوز مشخص نیست که علت این پدیده چیست، اما برخی متخصصان حدس میزنند که افزایش استفاده از آنتی بیوتیکها در سالهای اولیه زندگی، غذاهای فرآوری شده در رژیم غذایی و هوای گرم فزاینده به دلیل تغییرات آب و هوایی همگی از دلایل بالقوه هستند.
منبع:روزیاتو