کد مطلب: ۹۱۷۷۴۴
|
|
۱۷ مهر ۱۴۰۴ - ۱۰:۲۶

داروی تزریقی پیشگیری از بارداری باعث ایجاد بیماری میشود!

داروی تزریقی پیشگیری از بارداری باعث ایجاد بیماری میشود!
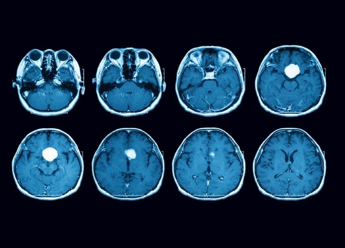
شاکیان تأکید دارند که فایزر سال‌ها از نتایج پژوهش‌های علمی درباره ارتباط مصرف طولانی‌مدت Depo-Provera (دپو-پروورا) با افزایش خطر مننژیوم آگاه بوده یا باید آگاه می‌بود، اما این اطلاعات را به پزشکان و بیماران منتقل نکرده است.

به گزارش مجله خبری نگار/عصر ایران،بیش از ۱۳۰۰ زن در سراسر ایالات متحده آمریکا علیه شرکت داروسازی فایزر (Pfizer) شکایت دسته‌جمعی مطرح کرده‌اند. این زنان ادعا می‌کنند که شرکت فایزر درباره خطر ابتلا به مننژیوم — نوعی تومور مغزی عموماً غیرسرطانی، اما بالقوه ناتوان‌کننده — در صورت استفاده طولانی‌مدت از داروی تزریقی پیشگیری از بارداری Depo-Provera هشدار کافی نداده است.

این شکایت‌ها در قالب دعوی چندمنطقه‌ای (MDL) در دادگاه منطقه‌ای شمال فلوریدا در حال رسیدگی هستند. شاکیان تأکید دارند که فایزر سال‌ها از نتایج پژوهش‌های علمی درباره ارتباط مصرف طولانی‌مدت Depo-Provera (دپو-پروورا) با افزایش خطر مننژیوم آگاه بوده یا باید آگاه می‌بود، اما این اطلاعات را به پزشکان و بیماران منتقل نکرده است.

این پرونده‌ها شامل ادعای قصور پزشکی علیه پزشکان نمی‌شوند و تمرکز اصلی آنها بر کوتاهی فایزر در ارائه هشدار‌های کافی است.

بر اساس شکایات ثبت‌شده، بسیاری از زنان به دلیل عدم اطلاع از این خطرات، سال‌ها به مصرف این دارو ادامه داده‌اند و در موارد متعددی، ابتلا به تومور مغزی منجر به انجام جراحی مغز، پرتودرمانی یا مراقبت‌های عصبی مداوم شده است.

شاکیان می‌گویند که اگر فایزر هشدار‌های لازم را روی برچسب دارو و در اطلاع‌رسانی به پزشکان و عموم مردم درج می‌کرد، می‌توانستند تصمیم‌های آگاهانه‌تری درباره سلامت خود بگیرند و از این آسیب‌ها پیشگیری شود.

شکایات مطرح‌شده شامل موارد متعددی از جمله موارد زیر است:

عدم به‌روزرسانی برچسب دارو با وجود انتشار مطالعات جدید درباره ارتباط Depo-Provera با مننژیوم

عدم اطلاع‌رسانی کافی به پزشکان برای آگاه‌سازی بیماران

نبود هشدار عمومی یا اطلاعیه‌های ایمنی درباره مصرف طولانی‌مدت این دارو

پرونده‌ها اکنون در قالب یک دعوی چندمنطقه‌ای در حال پیشرفت هستند. این ساختار به شاکیان اجازه می‌دهد شواهد پزشکی، علمی و کارشناسی را به شکل متمرکز علیه فایزر ارائه کنند.

در عین حال، هر شاکی حق دارد دعوی فردی و وکیل اختصاصی خود را حفظ کند. تیم‌های حقوقی از جمله وکلای گروه Mass Tort Litigation در موسسه Morris James در حال جمع‌آوری مدارک پزشکی، شهادت کارشناسان و مستندات علمی برای تقویت ادعا‌ها هستند.

بر اساس اطلاعات منتشرشده، زنان واجد شرایط شکایت معمولاً شامل افرادی هستند که:

حداقل یک سال یا بیشتر از Depo-Provera استفاده کرده‌اند

پس از مصرف دارو، تشخیص قطعی مننژیوم گرفته‌اند

تحت درمان‌های تخصصی قرار گرفته‌اند

در برخی موارد، اعضای خانواده یا مراقبان نیز می‌توانند در صورت آسیب شدید عزیزانشان، اقدامات قانونی انجام دهند.

کارشناسان حقوقی تأکید می‌کنند که مهلت قانونی ثبت شکایت‌ها محدود است و زنانی که مشکوک به ارتباط میان مصرف این دارو و ابتلا به مننژیوم هستند، باید هر چه سریع‌تر با پزشک متخصص و وکیل حقوقی مشورت کنند تا امکان طرح دعوی از دست نرود.

شرکت فایزر (Pfizer) همان شرکت داروسازی شناخته‌شده‌ای است که یکی از نخستین واکسن‌های کرونا را در دوران همه‌گیری کووید-۱۹ تولید کرد.

شاکیان تأکید دارند که فایزر سال‌ها از نتایج پژوهش‌های علمی درباره ارتباط مصرف طولانی‌مدت Depo-Provera (دپو-پروورا) با افزایش خطر مننژیوم آگاه بوده یا باید آگاه می‌بود، اما این اطلاعات را به پزشکان و بیماران منتقل نکرده است.

دپو-پروورا در استرالیا

دپو-پروورا یک داروی هورمونی تزریقی است که هر سه ماه یک بار استفاده می‌شود و از اوایل دهه ۱۹۹۰ در آمریکا و استرالیا در دسترس بوده است. میلیون‌ها نفر این دارو را مصرف کرده‌اند. این دارو می‌تواند خطر ابتلا به مننژیوم (نوعی تومور مغزی معمولاً خوش‌خیم) را افزایش دهد. مننژیوم ممکن است باعث مشکلاتی مثل از دست دادن حافظه، تشنج، سردرد و مشکلات بینایی یا شنوایی شود و اغلب نیاز به جراحی دارد.

در استرالیا، شرکت‌های حقوقی مانند Shine Lawyers حدود ۲۰۰۰ زن مصرف‌کننده این دارو را ثبت کرده‌اند که بسیاری از آنها به مننژیوم مبتلا شده‌اند و در حال پیگیری پرونده‌ای علیه فایزر هستند. اداره کالای درمانی استرالیا (TGA) اوایل سال ۲۰۲۴ هشدار‌هایی درباره مننژیوم به اطلاعات دارویی اضافه کرد، اما نام مننژیوم در بروشور‌های مصرف‌کننده درج نشده است. به بیماران توصیه می‌شود در صورت مشاهده هرگونه علامت غیرطبیعی با پزشک خود مشورت کنند.

برچسب ها: زنان باردار
ارسال نظرات
قوانین ارسال نظر