کد مطلب: ۷۰۹۷۲۰
|
|
۰۵ آبان ۱۴۰۳ - ۱۱:۱۶

انسان با وجود از دست دادن ۹۰ درصد مغز خود، باز هم میتواند زندگی کند!

انسان با وجود از دست دادن ۹۰ درصد مغز خود، باز هم میتواند زندگی کند!
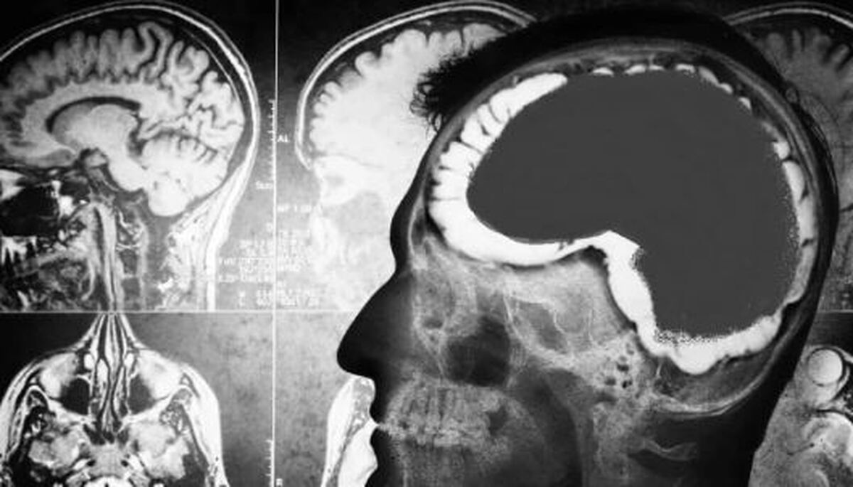
پزشکان در فرانسه در سال ۲۰۰۷ با موردی شگفت‌انگیز روبرو شدند؛ مردی ۴۴ ساله که با وجود از دست دادن ۹۰ درصد مغز خود، زندگی کاملاً عادی داشت و هیچ نشانه‌ای از مشکلات شناختی یا حرکتی در او دیده نمی‌شد.

به گزارش مجله خبری نگار/ایمنا، این مرد که برای بررسی بی‌حسی در پای چپ خود به پزشک مراجعه کرده بود، تحت سی‌تی‌اسکن قرار گرفت و مشخص شد که تنها بخش نازکی از بافت مغزی او در اطراف جمجمه باقی مانده و بقیه فضای جمجمه با مایع مغزی نخاعی پر شده است.

ضریب هوشی این مرد کمی پایین‌تر از حد متوسط و حدود ۷۵ بود، اما او دارای شغلی ثابت، همسر و دو فرزند بود و سال‌ها بدون مشکل زندگی می‌کرد.

این فرد در کودکی با نوعی هیدروسفالی (تجمع مایع در مغز) متولد شده بود و یک شانت مغزی برای تخلیه مایع اضافی در جمجمه‌اش نصب شده بود که در ۱۴ سالگی برداشته شد.

به مرور زمان، مایع مغزی دوباره به مغز حمله کرد و ۹۰ درصد آن را تحلیل برد، اما این فرد سال‌ها بدون آگاهی از این موضوع به زندگی عادی ادامه داد تا اینکه در ۴۴ سالگی، احساس ضعف در پایش او را به پزشک کشاند.

محققان و از جمله اکسل کلیمانس، روانشناس شناختی، بر این باورند که این مورد به وضوح انعطاف‌پذیری و انطباق‌پذیری خارق‌العاده مغز را نشان می‌دهد. کلیمانس در کنفرانسی در بوئنوس آیرس، این موضوع را مورد بحث قرار داد و گفت که مغز می‌تواند عملکرد‌های اصلی شناختی را به بخش‌های باقی‌مانده منتقل کند.

این یافته‌ها نشان می‌دهد که خودآگاهی و شناخت، می‌توانند بر اساس تجربه و رابطه با محیط، حتی با کمترین حجم از بافت مغز شکل گیرند.

مورد مرد فرانسوی نه تنها مفهوم جدیدی از توانایی مغز در انطباق با شرایط پیچیده را به نمایش گذاشت، بلکه نشان داد که خودآگاهی می‌تواند بدون نیاز به بخش‌های کامل مغزی نیز حفظ شود.

به گفته دانشمندان، تنها ۱۰ درصد از بافت مغز کافی است تا فرد همچنان بتواند زندگی عادی و آگاهانه‌ای داشته باشد و این کشف، دیدگاه‌های جدیدی درباره قابلیت‌های مغز انسان و مرز‌های شناخت و خودآگاهی ارائه می‌دهد.

برچسب ها: مغز انسان
ارسال نظرات
قوانین ارسال نظر